Diğer adıyla Down Sendromu.
Tanımlayıcısının adıyla anılan sorun.
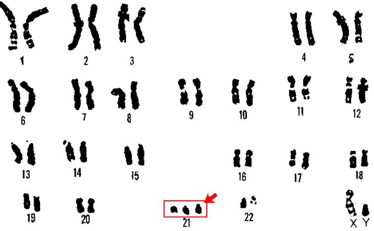
Bu bireyler 46+1 kromozoma sahipler.
Her yılın 3. Ayının 21’i Down Sendromu günü olarak belirlenmiş.

Down Sendromlu bireylerin topluma kazandırılması doğrultusundaki çalışmalar sonuç vermiş.
Epeyce yol alınmış son yıllarda.
Elbette, daha gidilecek çok yol olduğu kuşkusuz.
Artık aramızda olmayan ünlü evrimbilimci Stephen Jay Gould Down Sendromu üzerinden yeni bir kapı açmıştı.
Gould, “Pandanın Başparmağı” kitabında Down Sendromu’nun farklı bir adlandırması üzerinden ayrımcılığa ve ırkçılığa giden yolun taşlarının nasıl döşendiğinden söz eder.

Trizomi 21 ve Down Sendromu adlarıyla anılan kromozom bozukluğuna Batılılar Mongolizm adını da eklemişler. Bu bireylerin yüz görünümlerinden yola çıkarak.
Down Sendromluların öğrenmedeki yavaşlığı zihinsel gerilikle etiketlenmiş uzunca süre.
Günümüzde bilimsel dayanağı olmayan ve bilim çevrelerinde kabul görmeyen insan ırkları kavramına göre en üstün ırk Beyaz’dır. Bu ırka Kafkasyalı da denmiştir. Deri renkleri farklı olan diğer insanlar alt insan olarak tanımlanmıştır uzun süre.

İnsan ırkları tanımlamasının temeli görünüm farklılığıdır. Bir tür farkından bile söz edilemez.
Sanayi Devrimi sonrasında uzaklara yelken açan Batılılar gittikleri yerlerde dış görünüş bakımından farklı insanlarla karşılaştılar.
Sömürgeciliğe evrilen batılılar bu amaçlarına rahat ulaşabilmek için karşılaştıkları farklı(!) görünümlü insanları egemenlikleri altına alma ve sömürebilme bakımından kendilerince dayanak oluşturma zorunluluğu içinde buldular kendilerini.
Üstün olanın aşağı olana egemen olması olağan bir durum olarak karşılanabilirdi başkalarınca.
Trizomi 21 ya da Down Sendromu’nun Mongolizmle etiketlenmesi bu yüzdendi.
Kromozom bozukluğu olan bireylerin ayrımcılık amaçlı Mongolizm’le yaftalanmalarını öğrenmek benim açımdan önemli bir kapı oldu.
O kapıdan girer girmez çok daha fazla kapı belirdi karşımda.
Her biri beni farklı ve hiç bilmediğim bilgilere eriştirdi.
Ayrıntısı çok olsa da bu kapıların ardındaki “tıpta ırkçılık” kavramıyla tanışmış oldum.
Sömürgeci beyaz adamın sömürüsünü sınırsızlaştırma amacıyla tıp bilimini de tepe tepe kullandığını öğrendiğimi fark ettim bir hekim olarak.
Üç haftadır süren İran’a emperyalist saldırının ardındakilerin bilinçaltında bu olgunun yattığını kestirmek zor olmasa gerektir.

Yorum bırakın